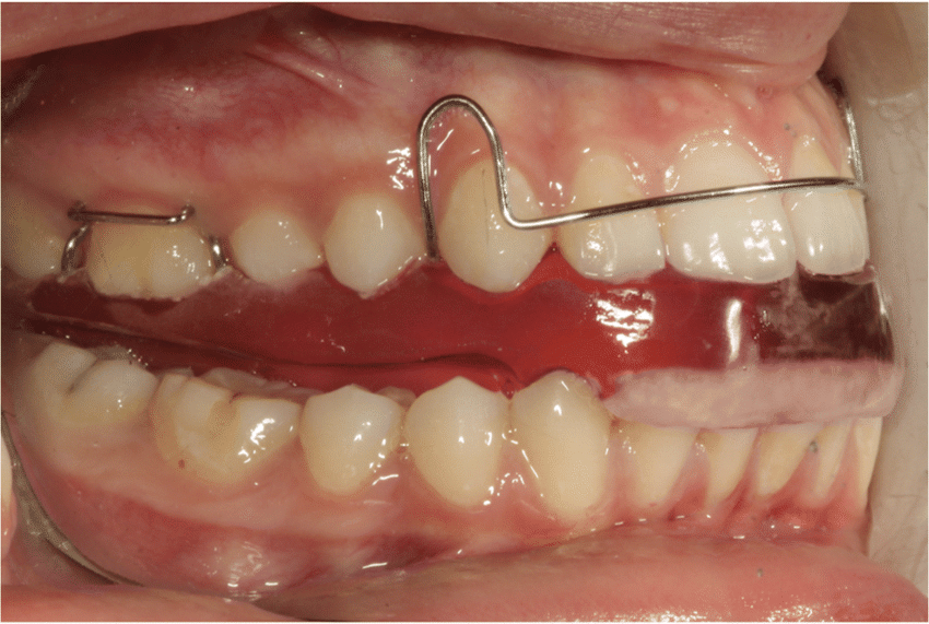
Fonksiyonel apareyler hastanın konuşma, yemek yeme, yutkunma gibi fonksiyonları sırasında oluşan kas hareketlerini kullanarak oluşan kuvvetlerle dişleri ve çeneleri hareket ettirerek düzgün bir ilişki sağlanmasına yardımcı olur. Takılıp çıkarılabilir tipleri olduğu gibi dişlere sabitlenen tipleri de mevcuttur.
